Hur fungerar myelin?
Hejsan!
Nervcellernas utskott, Axonen, är ju delvis täckt av ett isolerande fett hölje vid namn myelin. Detta ska göra så att nervimpulsen snabbare transporteras då den kan hoppa mellan nod till nod.
min fråga till er är hur detta fungerar, varför kan impulsen transporteras på detta vis?
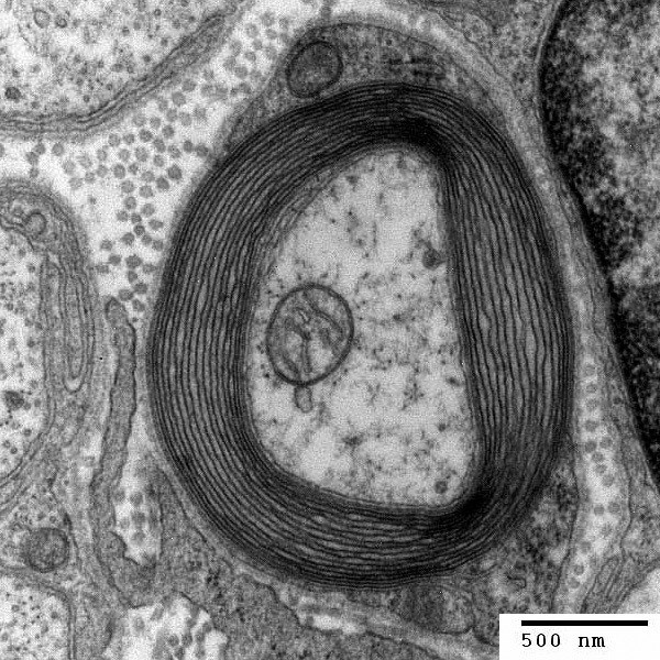
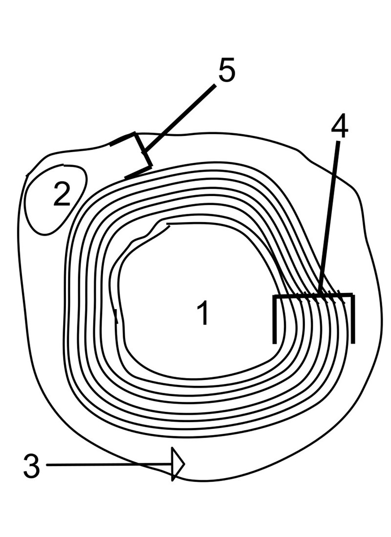
Myelinet beskrivs ofta som ett "fetthölje", men det är faktiskt ett utskott från en annan cell. Nervcellens axon omsluts av ett utskott från en annan typ av cell (glialceller i centrala nervsystemet, och Schwanceller i perifera nervsystemet). Bilden nedan visar ett tvärsnitt av en nervcells axon. Och i bilden ses de lager på lager av myelinutskott från en glialcell, med utskottet rullat/lindat runt axonen i massvis med lager (motsvarande "4" i illustrationen).

.svg.jpg?width=800&upscale=false)
Diagram of a myelinated axon in cross-section, från wikipediasidan: https://en.wikipedia.org/wiki/Myelin#Composition
1. Axonen
2. Nucleus of Schwann cell (det är cellen som skapat utskotten kring axonen)
3. Schwann cell
4. Myelin sheath (dessa lager av myelin är det som oftast bara kallas myelin)
5. Neurilemma
Hela axonens längd är inte täkt av myelin (en enda myelinbildande cell kan inte bli så stor att den kan täcka hela axonens längd) så det blir lite mellanrum, som mellan de gula myelinbitarna i bilden nedan. Dessa mellanrum kallas för noder.
![]()
När nervimpulsen transporteras, görs det genom att vissa joner flödar in i cellen, och andra samtidigt flödar ut genom jonkanaler. När jonerna strömmar uppstår elektrisk effekt, som en del av nervimpulsen. Men där axonen täcks av myelin kan inte joner flöda in/ut, det finns helt enkelt inte tillräckligt mycket vätska utanför cellen och fettet isolerar (liknande hur plasten i en sladd isolerar metallen på insidan från oss på utsidan).
I noderna kan joner flöda (det saknas myeklin där), och det är precis det som sker. När nervimpulsen når en myelinbit (kallas även myelinskida) så flödar inte jonerna längre, men den elektriska effekten (en spänning) finns fortfarande kvar. Och denna spänning påverkar nästa nod (nod2), genom att få joner att flöda där. Och när joner flödar i nod2, påverkar det nod3. På så vis "hoppar" nervsignalen mellan noderna.
Och hoppandet gör att nervimpulsen blir mycket snabbare. För ett hopp tar endast en pytteliten tid, jämfört med celler utan myelin där jonerna måste flöda längs hela axonens längd lite i taget.