Magnetkamera
Hej, i min fysiklärares powerpoint står det såhär om magnetkamera. Men jag förstår inte sista meningen, vad menar hon med en radiopuls tvingar vätekärnorna att precessera med pulsens frekvens? Vad betyder precessera?
I vanliga fall pekar väteatomernas magnetfällt åt alla riktningar, vilket innebär att magnetfälten tar ut varandra.
Genom ett yttre kraftigt magnetfält får man väteatomerna att ställa in sig i det magnetfältet. En del ställer sig parallellt med fältet, medan andra inte.
Man lägger sedan på en radiopuls som tvingar vätekärnorna att precessera med pulsens frekvens.
Ett föremål som roterar har en rotationsaxel. När rotationsaxelns förflyttar sig och sveper ut en kon, säger man att den precesserar. Det är lättast att förstå genom att kolla på en animation.
Dessutom kommer vätekärnorna att precessera i ett statiskt magnetfält. Det vill säga, de kommer att precessera utan någon radiopuls.
Vätekärnorna precesserar med en frekvens, den så kallade Larmor-frekvensen.
Om man applicerar ett varierande magnetfält (radiopuls) med en frekvens nära Larmor-frekvensen (resonansfrekvensen), så kan man excitera vätekärnor så att de blir anti-parallella med det statiska fältet.
Efteråt så kommer de exciterade vätekärnorna att "långsamt" återvända till att bli parallella med det statiska fältet.
Spinriktningen hos vätekärnorna bidrar till det totala magnetfältet. När vätekärnorna återgår till att vara parallella så uppstår en förändring av det magnetiska flödet i spolar som sitter runt patienten i en MR-kamera.
Enligt Faraday's lag så induceras en spänning på grund av ett varierande magnetiskt flöde. Det är denna spänning som utgör signalen, som sedan kan rekonstrueras till en bild.
Så de kommer att börja rotera som en kon?
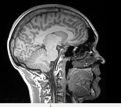
Ja. Här är förresten en T1-viktad (T1w) MR-bild på min hjärna.

Vad coolt. På din hjärna? Hur fick du tag på den bilden?
detrr skrev :Vad coolt. På din hjärna? Hur fick du tag på den bilden?
Mm :)!
Jag sommarjobbade på Karolinska sjukhuset i somras, på MR-avdelningen. Jag läser ett fysikprogram på Stockholms universitet (har gått 2.5 år av 5) med inriktning mot Sjukhusfysik. Jag har inte läst någon kurs i MR, men lyckades få ett jobb där ändå. Jag efterbearbetade MR-bilder i ett dataprogram.
Vad roligt det låter. Själv tycker jag det här med medicinska metoder i fysik 1 är väldigt komplicerat, men jag får väll läsa mig in på det varje dag nu framtills dess att jag förstår mig på metoderna.
Nu en följdfråga, när man säger "Relaxationstiden är olika lång för olika vävnad och man kan därför få hög upplösning även för mjukvävnad." - vet du vad min fysiklärare menar här med denna mening?
Inte helt hundra på vad hon menar. Jag är inte så insatt i MR, men har läst lite på egen hand på internet, och under tiden jag jobbade.
Men relaxationstiden är den tid det tar för "magnetiseringsvektorn" att återgå till sitt jämviktsläge, efter att ha blivit exciterad med radiopulsen.
Denna tid varierar mellan olika vävnader, som sagt. Och tiden skiljer sig mellan, exempelvis, vatten och fett. Genom att avläsa signalen vid en viss tid så kommer den att vara starkare för den ena typen av vävnad, jämfört med den andra typen av vävnad.
En typ av relaxationstid kallas för . -tiden för fett är kortare än för vatten. Det gör att om man läser av signalen i ett tidigt skede (?), så kommer man att få en kontrast mellan vatten och fett, där fettet är ljusare på bilden (jämfört med vatten).
Jag tror hon menar att, med MR, så kan man se skillnad på dessa typer av vävnader, vilket man inte kan göra med exempelvis röntgen. Egenskaperna för absorption av röntgenstrålning skiljer sig inte mellan fett och vatten, nämnvärt.
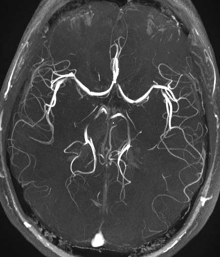
Det finns jättemånga häftiga så kallade pulssekvenser, där man använder en serie av olika typer av pulser, och avläsningsscheman. Man kan ta bilder av blodflöden, och man kan studera hjärnaktivitet.
MR-angiografi ser häftigt ut (bild på blodkärlen, obs inte min hjärna), se bild nedan:

Okej då förstår jag :)
Tack så hemskt mycket för hjälpen :)